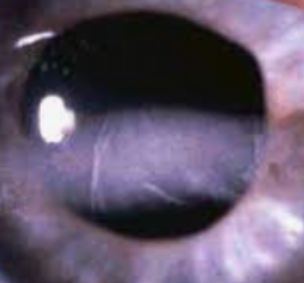
Corneal band keratopathy is a corneal disease often described as ‘Swiss cheese’ because of its white and holey appearance.
Band keratopathy is a disorder that affects the cornea, the clear, dome-like structure on the front part of the eye. A linear band of calcium deposits across the cornea is the characteristic of band keratopathy.
The deposition is gritty and whitish-gray in hue. When the eye is in an open position, calcium deposits can be seen on the cornea between the open and exposed areas between the eyelids.
What causes band keratopathy?
Band keratopathy is thought to be caused by conditions that raise calcium levels in the body.
Causes of excessive chronic levels of calcium include:
- Kidney disease
- Excess vitamin D
- Increased levels of thyroid hormones
- Sarcoidosis
- Lupus
- Paget’s disease, a condition in which your bones break down too quickly.
The calcium band, on the cornea of the eye, is laid down by the tears, as they have a small amount of calcium in them.
Calcium from the tears is deposited on the cornea when the tears have a considerably greater than normal quantity of calcium, this abnormal tear composition causes the acidity of the tears to rise, hastening the process and resulting in band keratopathy.
Calcium deposits on the cornea might also occur as a result of the medical problems, as indicated above, that cause calcium levels to rise in the body.
Calcium, on the other hand, can build up in the tears as a result of eye conditions that cause persistent inflammation.
Band keratopathy has also been seen in people with diseases that induce corneal edema or decompensation of the corneal cells.
Some eye conditions that cause chronic inflammation can also cause band keratopathy to develop:
- Chronic iritis (uveitis)
- Corneal dystrophies
- Juvenile arthritis
- Long-term or end-stage glaucoma
- Phthisis bulbi (a non-functioning, shrunken eye from severe disease or trauma)
SEE REALTED: Guide to Corneal Conditions
If you’ve experienced any of the symptoms below, contact an eye doctor near you.
Symptoms of band keratopathy
Calcium deposits can be rather thick, and they can break off from time to time, causing pain and scrapes on the eye’s exterior surface.
Other signs and symptoms include:
- Blurred or decreased vision
- Irritation
- Redness
- Sandy or gritty sensation in the eye
How to treat band keratopathy
Band keratopathy treatment consists of a chemical treatment called chelation.
Chelation is a chemical process that removes calcium from the cornea. After chelation, often an excimer laser, similar to the one used for LASIK, is used to remove any remaining calcium and to smooth the corneal surface by removing any irregularities. .
After the procedure, either an amniotic membrane or a bandage is applied to the eye for a few weeks.
However, unless the underlying cause is diagnosed, band keratopathy will probably recur.
LEARN MORE: Guide to Eye Health
Schedule an appointment with an eye doctor near you who can find out what is causing your keratopathy
Corneal band keratopathy can be successfully treated, so you can receive a long term effective solution.








