What is a corneal ulcer?
The cornea is the translucent, outermost layer of the eye that covers the pupil and iris. The cornea plays a vital role in bending light to allow it to pass through the pupil and enter the eye.
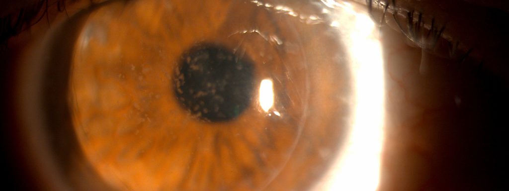
A corneal ulcer, also known as keratitis, is an open sore that develops on the cornea and appears as a white or grey spot on the eye. Corneal ulcers are typically caused by an eye infection, severe dry eyes, an eye injury, or another eye condition.
Corneal ulcers can cause severe pain, vision problems and even permanent vision loss if not treated properly.
Symptoms of a corneal ulcer
If you experience any of the following symptoms, contact your eye doctor as soon as possible:
- Red eyes
- Eye pain and soreness
- Blurred vision
- Light sensitivity
- Tearing
- Discharge
- Foreign body sensation
- Eyelid swelling
- White or grey spot on cornea
If you suffer from any of these symptoms contact an eye doctor near you.
What causes a corneal ulcer to develop?
Corneal ulcers are most commonly caused by an eye infection.
Bacterial infection. This is the most common type of infection that can lead to corneal ulcers. It is generally caused by poor contact lens hygiene, dirty contact lenses, or wearing contact lenses longer than directed.
Viral infection. The herpes simplex virus can cause cold sores around the mouth as well as sores on the cornea.
This virus is most common among people who are overly stressed, have a weakened immune system, or are frequently exposed to sunlight and UV radiation.
The varicella virus that causes the chicken pox and shingles can also lead to the development of a corneal ulcer.
Fungal infection. Misuse of steroid eye drops or inadequate contact lens hygiene can cause a fungal infection that can lead to a corneal ulcer. Fungal infections can also develop following an eye injury that involves plant material, such a small leaf particle or even tiny wooden debris, though they also frequently occur in people with weakened immune systems.
Parasitic (acanthamoeba) infections. This type of infection is rare, but can lead to permanent vision loss. Acanthamoeba are microscopic, single-celled amoeba found in freshwater and soil. If this parasite comes in contact with the eye, a serious infection can result. This type of infection is most common among contact lens wearers, when water is used in place of prescribed contact lens solutions.
Additional causes
Corneal ulcers can also be caused by a corneal injury that increases the risk of infection, or an eye condition that affects the normal lubrication of the eye.
The most common causes include:
- Corneal abrasion (scratch)
- Chemical burn on the eye
- Dry eye syndrome
- Bell’s palsy
- Eye inflammatory disorders
Contact an eye doctor near you if you suffer from server pain or vision problems.
SEE RELATED: Corneal Abrasions (Scratch)
How is a corneal ulcer diagnosed?
Corneal ulcers are diagnosed during an eye exam.
If you think you may have a corneal ulcer, it is important to seek treatment as soon as possible to prevent permanent vision damage and vision loss.
To determine the presence of a corneal ulcer, your eye doctor will insert drops into your eye containing a fluorescent dye, called fluorescein. This dye will help your doctor to locate the ulcer by highlighting the corneal damage when exposed to blue light.
Your eye doctor may also numb your eye with drops to gently swab your eye and collect a sample of the ulcer to send to the laboratory. This will help your doctor to determine what type of infection has caused the ulcer, and facilitate the most effective treatment plan.
How is a corneal ulcer treated?
Most corneal ulcers can be treated with an antibiotic, antiviral or antifungal eye drop.
In some cases, antifungal tablets or eye injections of medication will be used as well. Your eye doctor may also prescribe oral pain medication to help relieve the uncomfortable symptoms.
Once the infection has cleared, your eye doctor may prescribe an anti-inflammatory or steroid eye drop to reduce inflammation and decrease your risk of corneal scarring.
Will I need a corneal transplant?
A corneal transplant is a surgical procedure that is performed in severe cases, when a scar develops on the cornea and vision is permanently impaired.
A corneal transplant may also be recommended if the corneal ulcer is unresponsive to traditional treatment methods.
With a new clear cornea, vision can be restored.
Preventing corneal ulcers
The following factors can increase your risk of developing a corneal ulcer:
- Expired, damaged, or dirty contact lenses
- Misuse of steroid eye drops
- Severe dry eyes
- Corneal injury or chemical burn
- Cold sores, chicken pox, or shingles
The most effective way to reduce your risk of developing a corneal ulcer is to seek immediate treatment for an eye infection, injury or severe dry eyes.
It is also advisable to practice the following eye health and safety guidelines:
- Never sleep in your contact lenses.
- Always wash your hands before touching your eyes.
- Always disinfect your contact lenses before inserting and removing them.
- If you feel something in your eye, try to flush it out with sterile saline or contact lens solution— if you cannot flush it out, contact your eye doctor.
LEARN MORE: Guide to Corneal Diseases
If you think you may have a corneal ulcer, it is important to seek immediate medical care.
While corneal ulcers are treatable, they can cause vision problems and should be examined early on to prevent permanent corneal damage or vision loss.







